본문 바로가기

전체 글157

당근마켓 PC버전 편하게 보기 당근마켓 PC버전 편하게 보기 어머니께서 새로운 취미를 가지셨습니다. 바로 당근마켓입니다. 워낙에 화분과 다육을 많이 키우셔서 정리를 하고 싶어하는데 나눔도 하고 하지만 아무래도 일일이 포장하고 싸서 택배 보내고 하는 일이 귀찮기도 하고 힘들어하기도 하셔서 당근을 알려드렸습니다. 연세도 있고 해서 PC버전 으로 좀 더 편하게 보시라고 설치해 드렸습니다. 이제는 진짜 갖고 싶은 사람은 집으로 가지러 직접 오게 할 수 있으니 포장안해도 되고 해서 편하게 정리하고 또 그렇게 판매한 금액으로 또 사고 싶은 게 있으면 또 구입도 하고 그러실 거라고 합니다. 당근마켓 앱을 그대로 다운 받아서 PC에서 사용할 수 있는 방법입니다. windowspc.software 라는 사이트에 접속하면 위와 같은 창이 뜨게 됩니다... 2020. 1. 13.
와인 안주 5가지 추천 와인 안주 5가지 추천 와인 그러면 가장 먼저 생각나는 안주 뭐가 있나요? 레드와인, 화이트와인, 로제와인 등 와인에는 각각의 개성에 맞는 안주가 있습니다. 맛있는 술과 그리고 그와 잘 어울리는 안주 몇가지를 소개합니다. 특히 오늘은 레드와인과 잘 어울리는 것을 위주로, 그리고 치즈라고 해도 또 여러 종류가 있으니 어떻게 고르면 될지도 함께 살펴보겠습니다. 맛, 향기와 풍미 그리고 컬러를 고려한 와인 안주 고르는 방법입니다. 어느 사이트에서 조사한 결과 종합랭킹과 남녀별 선호도로 나뉘어진 랭킹을 먼저 소개하겠습니다. 종합랭킹으로는 역시 1위는 치즈, 2위는 하몽, 3위는 로스트비프, 4위는 훈제연어, 5위는 살라미였습니다. 이 외에도 마리네, 카르파쵸, 초콜릿 등이 있습니다. 남성들이 선호하는 와인 안주.. 2020. 1. 8.
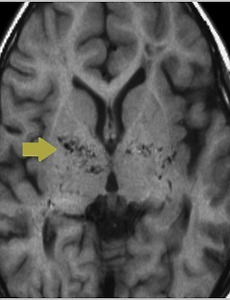
모야모야병 증상 그리고 완치 모야모야병 증상 그리고 완치 사람의 뇌는 좌우 내경동맥과 좌우의 추골동맥 총 4개의 혈관으로 영양을 받고 이들의 4개 혈관은 뇌저부에서 서로 연결되어 윌리스서클을 형성하고 있습니다. 모야모야병 이란 윌리스동맥륜폐색증이라고도 불리며 모야모야라는 이름에서 알 수 있듯이 일본인에게 많이 발생했고 그래서 일본인이 발견한 병입니다. 그럼 도대체 무슨 병인지부터 한번 확인해 보도록 하겠습니다. 뇌 양쯕의 내경동맥 말초부분이 점점 좁아져서 마침내 막히게 되고 그 대신 가느다랗고 흐릿하면서 연기가 올라오는 듯한 모습의 혈관이 뇌에 영양을 공급하게 되는 질환입니다. 뇌혈관조영 영상으로 좁은 혈관이 모여있는 것이 마치 담배연기처럼 모락모락 올라오는 듯한 느낌이라서 일본어로 그런 느낌을 주는 단어인 모야모야병 이라 칭해지게.. 2020. 1. 2.
층간소음 이웃사이센터 신청 층간소음 이웃사이센터 신청 아파트를 비롯한 공동주택 간의 층간소음 문제를 해결하기 위해 운영중인 층간소음 이웃사이센터 신청 방법과 어떤 과정과 절차를 거쳐 해결에 이르게 되는지 한번 살펴보겠습니다. 층간소음 이웃사이센터 라 이름 붙은 이 곳은 환경부 산하 한국환경공단에서 운영하고 있으며 2012년 출범했습니다. 살인사건으로까지 이어지는 심각한 사회문제가 된 층간소음문제를 정부차원에서 해결하기 위해서였는데요 과연 그 기능을 잘 이행하고 있을까요? 그리고 어떻게 신청하면 이용할 수 있을까요? 우선 층간소음 이웃사이센터 홈페이지에서 신청하는 방법과 절차를 확인해 보도록 하겠습니다. 홈페이지로 들어가면 환경소음, 항공기소음, 철도소음, 도로진동, 층간소음, 타이어소음 등으로 나뉘어져 있는데 여기서 층간소음 선택.. 2019. 12. 26.
층간소음 법적기준 층간소음 법적기준 요즘 심심찮게 보게 되는 뉴스 중에는 아파트에서 윗층으로 올라가 난동을 부리거나 사람을 해치기까지 하는 원인이 되는 층간소음 문제가 꽤 있습니다. 사회적 문제로 자리잡은 지 오래된 이 문제를 해결하기 위해 환경부에서는 층간소음의 범위와 기준에 관한 규칙을 마련했습니다. 층간소음 관련되어서의 민원은 해마다 증가하고 있어서 2010년에는 8,795건에 지나지 않았던 것이 2015년에는 19,278건으로 엄청나게 증가하고 있습니다. 층간소음 이라는 것은 입주자, 사용자의 활동으로 인해 발생하는 소음으로 인해 다른 입주자, 사용자가 피해를 입는 소음을 말하며 직접 충격 소음과 공기 전달 소음 두가지로 구분해서 볼 수 있습니다. 층간소음 법적기준 또한 이 두가지를 구분해서 볼 수 있습니다. 직접.. 2019. 12. 24.
완강기 설치기준 안내문 완강기 설치기준 안내문 사용자의 몸무게에 따라 자동으로 내려올 수 있는 피난기구인 완강기는 연속으로 사용할 수 있는 일반과 일회용으로 한번만 사용할 수 있는 간이완강기가 있습니다. 오늘의 포스팅은 화재가 났거나 또 다른 여러 안전사고 등에서 이용할 수도 있게 될 완강기 설치기준 관련해서 알아보도록 하겠습니다. 일반완강기는 설치대 또는 지지대라 불리는 기구가 벽에 설치되어 고정되어 있고 간이완강기는 지지대에 고정되지 않아서 1회용으로만 사용하게 됩니다. 의무적으로 설치해야 하는 피난기구이며 어떤 상황에서는 설치면제가 되는지까지도 확인해 보도록 하겠습니다. 화재나 안전사고 발생시 계단과 복도, 엘리베이터 등을 이용할 수 없을 때 창밖으로 벽을 타고 밖으로 탈출, 피난 할 수 있게 한 피난기구가 완강기 설치기.. 2019. 12. 23.
해파랑길 지도 및 홈페이지 해파랑길 지도 및 홈페이지 길을 걷는 여행을 한다면 오로지 우리나라에서는 제주도 올레길 그리고 이렇게 걷는 여행, 트레킹을 하는 사람들이라면 꼭 가보고 싶어한다는 산티아고 순례길 정도만 알고 있었는데 우리나라 동해안을 타고 걷는 여행길 해파랑길 있다는 것을 이제서야 알게 되었습니다. 동해안도로는 차를 타고 옆으로 펼쳐진 짙푸른 바다와 가끔씩 보이는 바위들을 보는 것이라고만 생각했는데 해파랑길 지도 보니 총 50개의 코스로 우리나라에서 가장 긴 트레일코스이네요. 2010년 9월15일에 문화체육관광부가 이 동해안 탐방로 이름을 해파랑길 이라 선정했다고 합니다. 동해안 그러면 생각나는 태양, 일출을 떠올리는 태양과 걷는 사색의 길로 총 770km의 코스입니다. 해파랑길 지도 펼쳐보니 밑에서부터 1코스로 시작해.. 2019. 12. 20.
낙상 사고, 고령자의 위험성 낙상 사고, 고령자의 위험성 사람은 나이를 먹으면서 근육이 약해지고 시력도 약해지면서 보행에 장애가 있는 등 여러가지 원인으로 인해 고령자들은 균형을 잘 못 잡으면서 넘어지기 쉽습니다. 물론 젊은 사람들도 겨울철에는 특히 더 미끄러지거나 해서 낙상 사고 당하게 되기 쉬운데요, 고령자는 그 위험성이 더 커지게 됩니다. 특히 고령자들은 한번 낙상 하게 되면 고관절 등으로 큰 부상을 입을 수 있고 그렇게 되면 혼자서는 움직일 수 없어 꼭 간병인이 옆에 있어야만 하는 상황이 생길 수 있습니다. 오늘은 이런 낙상 사고 특히 고령자에게 있어서의 위험성 등을 함께 알아보겠습니다. 낙상 이라는 것은 젊은 사람이 넘어지거나 미끄러져 다치면 깁스 등으로 끝날 수 있는 경우가 많겠지만 고령자에게는 큰 사고로 이어질 수 있습.. 2019. 12. 19.
잇몸이 붓고 아플때 무슨 병일까 잇몸이 붓고 아플때 무슨 병일까 치육염과 치주염을 합해서 부르는 치주병은 잇몸이 붓고 가끔은 피가 나는 증상을 보이고 있습니다. 치육염이 가벼운 치주염으로 발전하고 이것이 증상이 계속 진행되면서 결국에는 이가 흔들리는 지경에 이르게 됩니다. 치육염의 단계에서는 그다지 심하게 통증을 느끼지는 못하지만 그냥 방치하면 점점 더 증상이 진행되면서 이가 흔들리게 되는데요, 그렇기 때문에 잇몸이 붓고 하는 그 단계에서부터 치주병 초기증상이라 생각하고 치료해 주어야 합니다. 잇몸이 붓고 아플때 까지 가면 중간 이상의 단계에까지 이른 것입니다. 잇몸에서 생기는 문제 중에서 가장 많이, 흔하게 볼 수 있는 증상은 바로 잇몸이 붓고 아프다는 증상입니다. 그리고 이런 증상을 계속 방치하면 이가 흔들리고 그러다가 빠지거나 약.. 2019. 12. 18.