오른쪽 가슴 통증 원인 질환 종류



왼쪽 가슴이 아프다면 심장에 어떤 문제가 있는건 아닐까하는 걱정을 하게 됩니다. 그리고 그에 비해 오른쪽 가슴 아프다면 크게 걱정하거나 하는 일이 좀 덜한 것도 사실입니다. 하지만 그 통증이 오래 지속되거나 둔통이 아닌 생활하는데까지 지장이 생긴다면 덜컥 혹시나 하는 생각을 하게 됩니다. 이런 경우의 원인 질환에는 무엇이 있는지를 소개합니다.
일시적인 가슴 통증 정도라면 너무 걱정하는 것이 더 큰일입니다. 스트레스로 연결될 수 있으니까요. 하지만 지속적인 오른쪽 가슴의 통증이라거나 이 아픔이 반복되고 몸의 다른 부위도 아프다면 혹시 다른 질병이 원인이 될 수도 있습니다.
오른쪽 가슴 통증 원인 질환 1. 늑골골절
심한 운동을 하거나 기침을 심하게 하기도 하고 어디에 부딪히거나 해서 다치게 되어 늑골이 골절 될 수 있습니다. 늑골 골절이 발생할 수 있는 경우라면 사고를 당했다거나 감기 등으로 심하게 기침을 해서, 심한 운동이 원인이 되기도 하며 가슴 부분을 어딘가에 심하게 부딪혔을 수도 있습니다.



늑골 골절이 원인인 경우의 오른쪽 가슴 통증 증상은 가슴과 옆구리의 욱신거림, 기침을 하거나 웃기만 해도 아프고 자세를 바꾸려고 할 때는 물론 심한 경우는 호흡만으로도 통증을 느끼고 동작의 어려움이 나타납니다. 이런 경우는 반드시 정형외과의 진찰과 치료가 필요합니다.
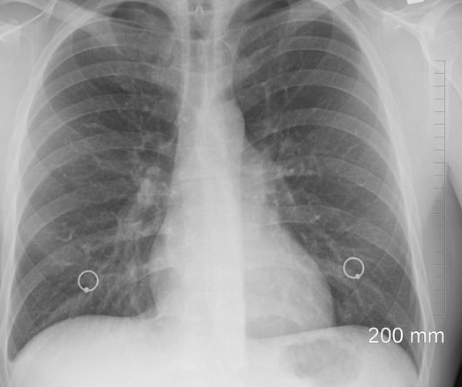
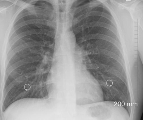
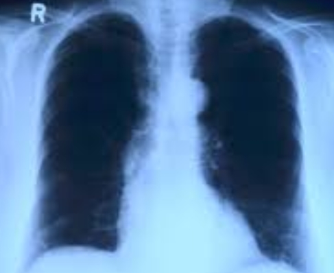
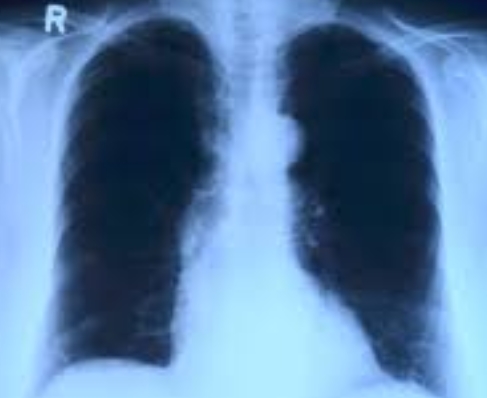
오른쪽 가슴 통증 원인 질환 2. 폐 질환
폐암, 흉막염, 자연기흉 등이 원인이 되어 나타날 수도 있습니다. 흡연자, 불규칙한 생활을 하거나 하는 사람은 아무래도 폐가 약할 수 있습니다. 그리고 10~30대의 마른 체형의 남성에게서는 자연기흉이 나타날 수도 있습니다.
폐 질환으로 인해 오른쪽 가슴 통증 나타나는 경우는 욱신거리는 통증과 가래를 동반한 기침 그리고 숨쉬기 괴롭고 힘든 증상이 나타납니다. 이런 경우는 바로 내과나 호흡기내과 등에서 진찰과 치료를 받아야 합니다.



그러면 이런 통증이 나타나기는 하지만 폐질환이나 늑골골절이 의심되지는 않는다고 해도 너무 심하게 아프고 4~5일 이상 지속되면서 피가 섞인 가래가 나온다면 바로 병원을 찾아야 합니다.
그리고 의외로 어떤 원인 질환 있는 것은 아니지만 오른쪽 가슴 통증 호소하는 사람들 중에는 심한 스트레스 때문인 경우도 있습니다. 불안감을 느끼고 너무 성실하거나 꼼꼼한 성격의 사람들은 특히 스트레스를 많이 받습니다.
스트레스가 원인 되어 오른쪽 가슴 통증 느끼는 경우라면 욱신욱신한 느낌과 등에서도 아픔을 느낄 수 있습니다. 여기에 식욕이 떨어지거나 반대로 너무 과식을 할 수도 있으며 어깨도 욱신거리고 두통에 불면증과 초조해하는 사람들도 있습니다. 이런 경우는 병원진찰은 필요없지만 스스로가 심신을 안정시키고 휴식을 취합니다. 하지만 이렇게 하는데도 가슴 통증이 개선되지 않는다면 위의 원인 질환 의심해 볼 수 있으니 진찰을 받아보시길 바랍니다.
댓글